ВсОШ по Биологии 5, 6, 7, 8, 9, 10 и 11 кл. ОЛИМПИАДА: В Таиланде в зимнее время можно купить плоды сахарного яблока, которые относятся к сложным плодам. Рассмотрите срез плода.

Биология 5, 6, 7, 8, 9, 10 и 11 класс (8 октября 2025), какие ответы на задания? Сегодня 8 октября 2025 все полные ответы по биологии для 5, 6, 7, 8, 9, 10 и 11 кл. уже у нас. Олимпиада СИРИУС сегодня, официальные ответы СРОЧНО, новое на 8 октября: все полные ответы и разборы заданий БИОЛОГИЯ,

БИОЛОГИЯ Олимпиада СИРИУС 5-6 класс: полные ответы и все задания

Задание 1. У каких животных есть структура с похожими функциями и названием?
  • У насекомых
  • У ленточных червей
  • У птиц
  • У двустворчатых моллюсков
Задание 2. Что висит на ветке ели?
  • Гнездо насекомых
  • Гнездо птицы
  • Плодовое тело паразитического гриба
  • Плод растения
Задание 3. Какое растение даёт сырьё для производства перловой крупы?
  • Просо
  • Овёс
  • Ячмень
  • Пшеница
Задание 4. Широко известно, что волки умеют выть. При этом иногда раздаётся сразу несколько голосов животных, находящихся в разных местах. Какое утверждение о волках может быть сделано на основе этой информации?
  • У волков есть звуковая коммуникация
  • По типу питания волки — хищники
  • У волков обычно 4–8 волчат в одном помёте
  • Волки охотятся стаями
Задание 5. Какой организм в ходе своей жизни (индивидуального развития) длительно взаимодействует с тремя средами жизни и имеет к ним различные приспособления (адаптации)?
Задание 6. Какая клетка представляет собой самостоятельный организм?
Задание 7. Настоящие тюлени — вторичноводные млекопитающие. Это означает, что их предки, как и предки китообразных, жили на суше, но затем освоили водную среду. Однако некоторую связь с исходной средой обитания они сохранили. Что представители настоящих тюленей НЕ могут делать в воде?
  • Поедать добычу
  • Размножаться
  • Охотиться
  • Спать
Задание 8. Что общего у крокодилов и бегемотов?
  • И те, и другие относятся к классу Земноводные
  • И те, и другие — хищники
  • И те, и другие живут только в Африке
  • И те, и другие — полуводные животные
Задание 9. Какой из перечисленных органов человека самый большой по весу?
  • Сердце
  • Печень
  • Лёгкие
  • Желудок
Задание 10. Какой газ растения выделяют при дыхании?
  • Кислород
  • Углекислый газ
  • На свету — кислород, а в темноте — углекислый газ
  • Растения не осуществляют процесс дыхания

БИОЛОГИЯ Олимпиада СИРИУС 7 класс: полные ответы и все задания

Задание 1. В рамках эксперимента проростки растений выращивали в камерах с искусственным освещением, при этом все остальные условия эксперимента были одинаковыми — интенсивность света, температура, влажность, состав газов атмосферы. В одной камере были красные и синие лампы, в другой — только красные. Растения в камере с лампами двух цветов быстрее накапливали биомассу, чем растения в камере с красными лампами.
Для того, чтобы результаты эксперимента можно было верно оценить, необходимо ввести контрольную группу, то есть группу исследуемых объектов, которая не подвергается воздействию изучаемого фактора (переменной) и используется для сравнения с экспериментальной группой, на которую это воздействие оказывается.
В каких условиях должны содержаться контрольные растения?
  • При пониженной температуре
  • В условиях усиленного увлажнения и проветривания
  • Под белыми лампами той же интенсивности освещения
  • Посаженные в более ранний срок относительно времени начала эксперимента
Задание 2. На фотографии показан инструмент, камера которого направлена на лист растения. В течение светового дня прибор фиксирует параметры некоторого процесса, происходящего в листе, и строит график, который показан на изображении.
Какой процесс жизнедеятельности растения оценивает этот прибор?
  • Транспорт минеральных веществ по ксилеме
  • Испарение воды
  • Синтез белков
  • Фотосинтез
Задание 3. При изготовлении мармелада и желе часто используется агар (агар-агар) — вещество, выделяемое из клеточных стенок некоторых водорослей. Водоросли, являющиеся источником агара, содержат пигменты фикобилины. Примером таких водорослей является грацилярия (Gracilaria) или, как её называют в Японии, огонори (показана на фото).
К какой группе относятся водоросли, содержащие агар?
  • Зелёные водоросли
  • Бурые водоросли
  • Красные водоросли
  • Харовые водоросли
Задание 4. Плесневые грибы (или микромицеты) обычно не образуют плодовых тел и размножаются при помощи спор бесполого размножения. Микромицеты встречаются среди всех групп грибов — они могут быть как низшими (например, зигомицеты), так и высшими (например, аскомицеты). Однако пути спорообразования у разных групп грибов будут отличаться. У высших грибов споры бесполого размножения не покрыты общей оболочкой и сразу отделяются во внешнюю среду. На фотографии показаны колонии гриба пеницилла, относящегося к группе аскомицетов, а также схематическое изображение его спор и спороносного участка мицелия.
Выберите изображение спор высшего гриба:
Задание 5. Выберите продукт питания, в приготовлении которого НЕ задействованы микроорганизмы:
Задание 6. Бактерии — прокариотические одноклеточные организмы, не обладающие оформленным ядром. Выберите изображение бактерий:
Задание 7. Лишайники — симбиотические организмы, объединяющие грибы и водоросли. Что предоставляет водоросли гриб?
  • Только минеральные вещества
  • Только воду
  • Благоприятные условия для размножения
  • Питательные вещества
Задание 8. В домашних условиях для нормального роста и развития растениям необходима подкормка минеральными и органическими удобрениями. Подкормка может вноситься с раствором в почву (корневая подкормка) или на поверхность листьев (внекорневая подкормка). Способ подкормки, применяемый к растению, зависит от образа жизни организма в его естественной среде обитания. Какому комнатному растению можно и нужно обеспечивать только внекорневую подкормку?
Задание 9. Организмы приспособлены к условиям среды обитания, в которой они живут. Среда обитания характеризуется разными параметрами — температурой, влажностью, освещённостью и другими.
Выберите животное, обитающее в самом широком диапазоне значений температур:
Задание 10. Семейство Лютиковые отличается набором очень разных по строению цветков растений. Тут есть и актиноморфные, и зигоморфные; и циклические, и спиральные; и с двойным, и с простым околоцветником.
Выберите верное описание для этой диаграммы цветка лютиковых:
  • Цветок с простым околоцветником и видоизменёнными тычинками
  • Обоеполый цветок с круговым расположением тычинок
  • Актиноморфный цветок с двойным околоцветником|
  • Цветок с одним пестиком и спиральным положением чашелистиков
Задание 11. Весной на соснах «расцветают» шишки. Внимательный наблюдатель может заметить, что на сосне, однодомном растении, развиваются мужские и женские шишки, которые производят однополые гаметофиты. Где будут формироваться пыльцевые зёрна у сосны горной в весенний период?
Задание 12. Структура соцветия является определительным признаком для цветковых растений. Выберите изображение простого соцветия:
Задание 13. Кончик главного корня проростка гороха растёт с неодинаковой скоростью в разных своих частях. На изображении ниже вы можете оценить относительный рост пяти участков.
За счёт какого процесса происходит удлинение участка 1?
  • Утолщение клеточных стенок
  • Увеличение объёма центральной вакуоли в клетках
  • Образование новых клеток в образовательной ткани корня
  • Растяжение клеток вдоль оси корня без увеличения их объёма
Задание 14. В какой ткани ствола дерева ивы происходит транспорт сахарозы от листьев в корневую систему?
Задание 15. На фотографии слева показано строение соцветия мятлика под микроскопом. После вскрытия листовые органы, окружающие цветок, были отодвинуты; полученное изображение показано справа.
Что обозначено розовой стрелкой?
  • Завязь пестика
  • Нектарник
  • Тычинка
  • Плод

БИОЛОГИЯ Олимпиада СИРИУС 8 класс: полные ответы и все задания

Задание 1. Во время экспедиций на ледники лёд бурят, отбирая таким способом керны образцов, которые затем используются для исследований их состава, в том числе на наличие живых организмов и их останков.
Какие живые организмы нельзя обнаружить в ледниках?
  • Бактерии
  • Водоросли
  • Кольчатые черви
  • Спорофиты голосеменных растений
Задание 2. Почти все органоиды эукариотической клетки имеют сероватый окрас или вовсе прозрачны. В связи с этим изображения строения клеток, публикуемые в учебниках и в статьях, часто раскрашиваются человеком вручную или отражают результат окрашивания специальными гистологическими красителями.
Выберите микрофотографию клетки, для получения которой НЕ использованы гистологические красители:
Задание 3. тошноту, рвоту, сниженный аппетит и крапивницу (зудящие обширные высыпания на теле). В ходе обследований стало известно, что состояние вызвано возбудителем, который обитает в слизистой тонкого кишечника, имеет два ядра, 8 жгутиков и присоску.
Выберите название этого микроорганизма:
  • Lamblia intestinalis (лямблия)
  • Plasmodium falciparum (плазмодий)
  • Leishmania tropica (лейшмания)
  • Trypanosoma brucei (трипаносома)
Задание 4. Какой из этих организмов НЕ использует неорганические вещества для построения минерального скелета?
  • Фораминифера
  • Радиолярия
  • Диатомея
  • Токсоплазма
Задание 5. Дрожжи (одноклеточные грибы) осуществляют спиртовое брожение и используются человеком для приготовления различных продуктов питания и напитков.
При производстве какого напитка НЕ применяют дрожжи?
Задание 6. Вздувшиеся мясные консервы есть нельзя, так как чаще всего причиной вздутия (накопления газа) является развитие анаэробных бактерий — клостридий (Clostridia), синтезирующих нейротоксины. Ботулотоксин, синтезируемый Clostridium botulinum, — один из сильнейших ядов, известных человечеству. Отравление им часто приводит к летальному исходу. Клостридии — спорообразующие бактерии, а их споры зачастую крупнее самих вегетативных клеток, поэтому при спорообразовании вытянутая палочковидная форма клеток клостридий деформируется и они становятся похожи на ракетки и лимончики.
На какой фотографии представлены клостридии?
Задание 7. Аскомицеты — высшие грибы, к которым относятся сморчки, трюфель, многие плесневые грибы (микромицеты), например, аспергиллы и пенициллы. Особенностью аскомицетов является то, что половое размножение у них протекает за счёт эндоспорообразования (споры образуются под единой оболочкой в сумках (асках)), а бесполое — путём экзоспорообразования, то есть споры бесполого размножения сразу отделяются во внешнее пространство и не имеют общей оболочки.
Выберите фотографию, на которой представлены споры полового размножения аскомицетов (аскоспоры):
Задание 8. Водоросли — экологическая группа организмов, способных к фотосинтезу, преимущественно обитающих в воде и имеющих тело, представленное слоевищем (то есть не разделённое на ткани и органы). Эта группа включает всё многообразие как эукариотических водорослей, так и прокариотических — цианобактерий (сине‑зелёные водоросли). Несмотря на схожесть в стратегии питания, эу‑ и прокариотические водоросли значительно различаются по своему клеточному строению, например, у прокариот отсутствуют мембранные органоиды.
Выберите изображение цианобактерии:
Задание 9. В Мексике был описан новый вид очитка, растения из семейства Толстянковые. Для нового вида авторы сделали биологический рисунок.
Sedum jarocho . A. Общий вид растения; B. Цветок; C. Цветок, вид сбоку; D. Цветок, вид снизу; E. Лепесток; F. Лепесток, вид сбоку; G. Плодолистики; H. Лист, поперечный срез в деталях; I. Прицветнички; J, K. Прицветники с поперечным срезом.
Какую формулу цветка необходимо выбрать ботаникам для этого вида очитка? Обратите внимание, что «П» в формуле цветка обозначает количество плодолистиков, из которых строится пестик.
Задание 10. У какого вида чины отсутствуют листовые пластинки листа?
Задание 11. Выберите верное утверждение о мохообразных:
  • Спорофит всегда соединяется с гаметофитом при помощи стопы
  • В коробочке в результате митоза образуются споры
  • Тело гаметофита мохообразных всегда состоит из стебля и листа
  • Все мохообразные являются двудомными растениями, так как женские и мужские половые органы развиваются на разных особях
Задание 12. Какой части побеговой системы высших растений гомологична (т. е. имеет общее эволюционное происхождение) показанная на фотографии часть хвоща?
  • Узлу с листьями и междоузлию
  • Узлу с листьями и пазушными почками и междоузлию
  • Узлу стебля с листьями
Задание 13. Утиный церкариоз, или «зуд купальщика» — заболевание, которое возникает из‑за заражения человека церкариями некоторых видов сосальщиков семейства Schistosomatidae. Окончательными хозяевами этих червей являются водоплавающие птицы, а промежуточным хозяином — брюхоногий моллюск. Заражение происходит в процессе купания в стоячих водоёмах, где обитают водоплавающие птицы.
Что характерно для этого заболевания?
  • Церкарии в организме человека превращаются во взрослых сосальщиков
  • Церкарии погибают в организме человека
  • Заболевание неизлечимо
  • Течение заболевания становится хроническим
Задание 14. В научной статье о функционировании тела мушки‑дрозофилы содержится это изображение.
О деятельности какого органа насекомых говорится в статье?
  • Сердца
  • Трахей
  • Желудка
  • Мальпигиевых сосудов
Задание 15. Исследователи создали генетически модифицированную гидру, у которой зелёным флуоресцентным белком помечен определённый белок. С помощью флуоресцентного микроскопа сделали фотографию гидры. Красным цветом показаны ядра клеток, зелёным — помеченный белок.
Клетки какого типа можно найти на фотографии?
  • Нервные
  • Эпителиально‑мускульные
  • Секреторные
  • Стрекательные

БИОЛОГИЯ Олимпиада СИРИУС 9 класс: полные ответы и все задания

Задание 1. Широко используемым в микробиологии методом культивирования микроорганизмов является выращивание колоний на плотной питательной среде в чашке Петри. Для этого смешивают желирующий агент (агар‑агар, желатин, силикагель и др.) и питательную основу, состав которой подбирается в зависимости от выращиваемой культуры и целей эксперимента.
Группа исследователей получила пробы грунта и решила использовать этот метод, чтобы определить биологическое разнообразие их микробиома и открыть предположительно находящиеся в пробах новые микроорганизмы. С какими сложностями исследователи НЕ столкнутся в ходе эксперимента?
  • Некоторые бактерии могут существовать только в симбиозе с другими организмами или жить только в составе биоплёнок
  • Многие бактерии в биоценозе являются анаэробами, и их невозможно культивировать с аэробными бактериями
  • Многим микроорганизмам требуются специфические питательные вещества, и такие среды не всегда возможно воспроизвести в условиях лаборатории
  • Из‑за быстрого роста бактерий будет сложно настраивать нужную температуру в термостате
Задание 2. Зеркальный тест — метод определения способности животного распознавать себя в зеркале, разработанный в 1970 году психологом Гордоном Гэллапом‑младшим. Прохождение классического зеркального теста является индикатором самосознания организма. Проводится он следующим образом: когда животное спит, на его тело наносится метка краской без запаха таким образом, что может быть видна животному только в зеркале.
Далее ведётся наблюдение за поведением животного, когда оно видит в зеркале своё отражение. Определённые действия (поворот, расположение тела с целью лучше рассмотреть метку или попытки её потрогать, глядя в зеркало) говорят о том, что животное понимает, что метка, видимая в зеркале, расположена на его собственном теле.
Какие животные НЕ прошли зеркальный тест?
  • Сороки
  • Собаки
  • Афалины
  • Шимпанзе
Задание 3. Водный папоротник сальвиния плавает на поверхности воды. Присмотревшись к его листьям, можно заметить плотно расположенные трихомы. На фотографии в месте контакта листьев и воды формируется выпуклая поверхность жидкой фазы, что свидетельствует о несмачиваемости листьев водой.
Какое вещество выделяется эпидермой сальвинии на поверхность листьев и обеспечивает их несмачиваемость водой?
  • Кутин
  • Суберин
  • Лигнин
  • Целлюлоза
Задание 4. Семенные чешуи шишек хвойных растений являются эволюционно видоизменёнными генеративными побегами, несущими семязачатки. Семенные чешуи располагаются на оси женской шишки в определённом порядке, который можно описать теми же терминами, которыми описывается листорасположение на вегетативном побеге.
Рассмотрите фотографию женской шишки дальневосточного вида лиственницы Гмелина и выберите характерный для неё способ расположения семенных чешуй:
  • Супротивный
  • Спиральный четырёхрядный
  • Мутовчатый
  • Спиральный без видимых рядов
Задание 5. Многие животные в процессе эволюции приобрели способность вырабатывать яды. Какое животное НЕ является ядовитым?
Задание 6. Какой признак НЕ является общим для крокодилов и птиц?
  • Наличие пигостиля
  • Сухая кожа без защитных элементов
  • Известковая оболочка яиц
  • Четырёхкамерное сердце
Задание 7. У многих живых организмов клетки окружены клеточными стенками, выполняющими защитную и структурную функции, а иногда и дополнительные, например, депо полезных ионов и разнообразных веществ. Клеточные стенки могут быть разнообразны по своему составу. Их основу могут составлять белки, углеводы и их производные и т. п. Выберите организм, в состав клеточной стенки которого входит целлюлоза:
Задание 8. Хемосинтез — путь синтеза первичной органики из углекислого газа за счёт энергии окисления неорганических веществ. К хемосинтезу способны только прокариотические организмы — бактерии и археи. Выберите вещество, которое может служить субстратом для получения энергии при хемосинтезе:
  • Углекислый газ
  • Серная кислота
  • Глюкоза
  • Сероводород
Задание 9. Прокариоты и эукариоты значительно различаются в строении клетки. Выберите клеточный органоид, который будет общим для про‑ и эукариот:
  • Ядро
  • Рибосома
  • Хлоропласт
  • Аппарат Гольджи
Задание 10. Согласно теории эндосимбиогенеза, когда‑то пластиды и митохондрии были симбиотическими бактериями, впоследствии потерявшими автономность. Выберите фотографию, на которой НЕТ органоидов, приобретённых в результате эндосимбиогенеза:
Задание 11. Перед вами изображения головы рыбы в фронтальной проекции (вид спереди) и в латеральной проекции (вид сбоку).
Чем и как питается эта рыба?
  • Питается моллюсками, разгрызая раковины с помощью крепких челюстей
  • Соскребает водоросли с поверхностей плоскими пластинами на передней части головы
  • Питается планктоном и мелкими рыбами, фильтруя воду
  • Охотится на рыб среднего размера, расширяя рот и всасывая добычу благодаря низкому давлению в нём
Задание 12. У некоторых позвоночных на верхней стороне головы расположен примитивный светочувствительный орган. Он не формирует изображений, но способен улавливать изменения освещения. Выглядит как светлое пятно на макушке, у взрослых особей оно может зарастать пигментированной кожей, но орган продолжает функционировать.
Какую функцию выполняет этот орган?
  • Улучшение ночного зрения при недостатке света за счёт усиления чувствительности рецепторов в условиях слабого освещения
  • Настройка физиологических процессов в зависимости от уровня освещённости, включая регуляцию циркадных ритмов и сезонной активности
  • Способность фокусироваться на добыче, находящейся сверху над животным
  • Восприятие ультрафиолетового излучения солнца для ориентации в пространстве, включая определение дорсовентральной оси, то есть различение «верха» и «низа» относительно источника света
Задание 13. Внимательно изучите кость черепа, изображённую на рисунке: А вид снаружи, Б вид изнутри.
Воспользовавшись иллюстрацией строения черепа, выберите другую кость, с которой она формирует соединение:
  • Верхняя челюсть
  • Носовая кость
  • Подъязычная кость
  • Теменная кость
Задание 14. Стереограмма — плоское изображение, где на фоне повторяющихся узоров зашифрована объёмная картинка. При правильной фокусировке взгляда на картинке объёмное изображение становится видимым. Пример стереограммы представлен ниже (фокусировать на ней взгляд для выполнения задания не требуется).
Какая структура НЕ участвует в процессе восприятия и расшифровки картинки?
  • Хрусталик
  • Слепое пятно
  • Кора больших полушарий
  • Ресничная мышца
Задание 15. Вы исследуете популяцию растений в аридной (засушливой) экосистеме. На участке растут редкие кустарники с глубокой корневой системой. В последние годы наблюдаются сильные колебания численности этих растений.
Выберите прямой абиотический фактор, способный объяснить колебания численности растений:
  • Снижение численности опылителей из‑за повышения температуры
  • Глубина залегания грунтовых вод и количество сезонных осадков
  • Численность растительноядных насекомых в засушливые годы
  • Конкуренция за свет между кустарниками

БИОЛОГИЯ Олимпиада СИРИУС 10 класс: полные ответы и все задания

10 класс

Задание 1. Команда морских биологов установила на трёх обеднённых рифах искусственные 3D‑структуры, имитирующие кораллы, и сравнивала их заселение беспозвоночными с заселением контрольных участков в течение восемнадцати месяцев, фиксируя изменения дроном каждую неделю.
Какой научный метод здесь является основным?
  • Математическое моделирование
  • Полевой эксперимент
  • Сравнительный анализ
  • Описательный мониторинг
Задание 2. Цвет скорлупы яиц определяется присутствием пигментов — протопорфирина (коричневые оттенки) и биливердина и его производного ооцианина (зелёные и голубые оттенки).
Протопорфирин покрывает скорлупу только снаружи, когда яйцо движется по яйцеводу, а изнутри скорлупа остаётся белой. Биливердин и ооцианин проникают в структуру скорлупы раньше, на этапе её формирования, и пропитывают её целиком. Яйца породы кур араукана имеют голубую окраску, породы маран — коричневую.
Какую окраску яиц можно ожидать у гибридов от скрещивания этих двух пород при условии, что признаки наследуются независимо?
  • Белую
  • Пятнистую
  • Голубую
  • Оливковую
Задание 3. Женщина — носитель рецессивного сцепленного с X‑хромосомой аллеля дальтонизма (XDXd). Мужчина имеет нормальное зрение.
Какова вероятность, что их первый ребёнок‑мальчик НЕ будет дальтоником?
  • 0 %
  • 25 %
  • 50 %
  • 100 %
Задание 4. Рассмотрите лист растения с видовым названием волосистая.
К какому таксону оно относится?
  • Ивовые
  • Капустовые
  • Бобовые
  • Осоковые
Задание 5. Выберите неверное утверждение о цитоскелете:
  • Основная функция промежуточных филаментов и микрофиламентов — внутриклеточный транспорт
  • Микротрубочки направляют и распределяют хромосомы во время деления клетки
  • Актиновые филаменты отвечают за движение клетки, образование псевдоподий
  • К промежуточным филаментам относятся белки класса кератинов, они поддерживают форму клетки
Задание 6. Компартментализация (разделение цитоплазмы на отсеки благодаря внутренним мембранам) — важное событие в эволюции эукариотических клеток, позволившее пространственно разделить многие процессы, сделав их эффективнее и обезопасив сами клетки от многих едких веществ. Несмотря на то, что прокариоты лишены внутренних мембран, они всё же способны на многие процессы, которые осуществляют эукариоты.
Где протекают эти процессы в клетках прокариот?
  • Гликолиз — в цитоплазме
  • Клеточное дыхание — в митохондриях
  • Цикл Кребса — в межмембранном пространстве
  • Цикл Кальвина — в межмембранном пространстве
Задание 7. Бактерии способны крепиться к субстрату за счёт слизистого клейкого матрикса (гелеобразного вещества, окружающего клетки бактерий), белковых нитей (пилей) или специализированных выростов цитоплазмы (стебельков).
Выберите фотографию, на которой показана стебельковая бактерия:
Задание 8. Какая кость НЕ участвует в формировании стенок носовой полости?
  • Скуловая
  • Лобная
  • Решётчатая
  • Слёзная
Задание 9. Позвоночные какого класса характеризуются полным отсутствием парных конечностей, челюстей и костного скелета, но при этом относятся к черепным животным?
  • Хрящевые рыбы
  • Костистые рыбы
  • Лучепёрые рыбы
  • Круглоротые
Задание 10. Ламеллиподии и филоподии — это тонкие и подвижные клеточные выросты, похожие на псевдоподии амёбы, которые являются частью конуса роста нейрона.
Конус роста нейрона — это структура на конце аксона развивающегося нейрона, играющая ключевую роль в направленном росте и установлении нейронных соединений.
Человеческие нейронные органоиды (Human neural organoids), созданные в лаборатории из стволовых клеток, являются моделью для изучения развития, эволюции и заболеваний мозга человека. Исследователи добавили к таким нейронным органоидам четыре разных токсина, каждый из которых специфически связывает один тип белка клетки и прекращает его работу. Лишь один препарат практически остановил движение ламеллиподий и филоподий конуса роста нейрона, хотя микротрубочки в стволе аксона оставались целыми.
Какой элемент цитоскелета блокировался этим токсином?
  • Спектриновая сеть под клеточной мембраной
  • Элементы цитоскелета ядра клетки
  • Микротрубочки из тубулина
  • Актиновые микрофиламенты
Задание 11. В Таиланде в зимнее время можно купить плоды сахарного яблока, которые относятся к сложным плодам. Рассмотрите срез плода.
Из какого цветка образуется этот плод?
Задание 12. Кератины — это группа фибриллярных белков, из которых состоят разнообразные производные эпидермиса, в частности, волосы. При химической завивке волосы обрабатывают специальными растворами, которые влияют на взаимодействие участков кератина.
На изменение каких связей или сил направлена процедура химической завивки?
  • Дисульфидных связей
  • Сил Ван‑дер‑Ваальса
  • Пептидных связей
  • Амидных связей
Задание 13. В каком виде находится хроматин или ДНК в репликационной вилке в участке, с которым связывается праймаза?
  • Уровень компактизации метафазной хромосомы
  • Нуклеосомная нить
  • Двойная спираль
  • Одноцепочечная нить
Задание 14. Прочитайте описание эксперимента, выполненного с черенком ивы.
«Если с черенка ивы снять колечком кору, то поднятие воды нарушено не будет. Мало‑помалу верхний край раны сильно утолщается и получает вид кольцеобразного желвака от наплыва пластических веществ, встретивших здесь препятствие к дальнейшему перемещению вниз. Вся часть стебля, лежащая выше того места, где снята колечком кора, продолжает утолщаться по‑прежнему, тогда как под раною утолщение совершенно прекращается, если нет более низкой ветви, которая могла бы питать основание стебля. Если кольцевание произвести в нескольких местах, на разной высоте ствола, то часть, заключённая между двумя последовательными кольцеобразными вырезками коры, перестаёт утолщаться, если она не несёт ветви.»
Какой вывод нельзя сделать исходя из этого эксперимента?
  • Проведение воды и минеральных веществ в восходящем направлении происходит не в коре, а в тканях, расположенных глубже, так как поднятие воды не прекращается при кольцеобразном снятии коры
  • Ветви играют роль в питании главного стебля: если ниже раны есть ветвь, утолщение может продолжаться, так как ветвь поставляет органические вещества к нижней части стебля
  • Утолщение выше раны и отсутствие утолщения ниже указывают на то, что органические вещества перемещаются вниз по флоэме; когда кора удалена, этот поток прерывается и вещества накапливаются над раной, образуя утолщение
  • Участки стебля под кольцевыми вырезками перестают утолщаться в связи с остановкой транспорта веществ из более низко расположенных ветвей
Задание 15. В природе существует много путей получения энергии, два основных — брожение и дыхание. Брожение гораздо менее энергетически выгодно, чем дыхание. В результате разных типов брожения получается разное количество энергии. Спиртовой и молочнокислый типы — наименее выгодные. При протекании этих типов брожения клетка получает столько же молекул АТФ, сколько образуется при гликолизе.
Сколько молекул АТФ синтезируют дрожжи при окислении трёх молекул глюкозы по пути спиртового брожения?

БИОЛОГИЯ Олимпиада СИРИУС 11 класс: полные ответы и все задания

Задание 1. Существует метод оценки количества копий молекул ДНК с определённой последовательностью — ПЦР в реальном времени (англ. real‑time PCR). В основе метода лежит полимеразная цепная реакция (ПЦР), результат которой оценивается по интенсивности флуоресценции связавшихся с ДНК светящихся меток. Чем больше было исходное количество молекул ДНК с интересующей последовательностью, тем выше будет уровень флуоресценции. Метод нашёл широкое применение в различных областях, однако он имеет свои ограничения.
Для какой задачи ПЦР в реальном времени неприменим?
  • Диагностика наследственных заболеваний и синдромов
  • Количественное определение уровня трансляции белка
  • Количественный анализ экспрессии гена
  • Ранняя диагностика ВИЧ
Задание 2. Учёный ввёл флуоресцентный краситель в одну клетку раннего эмбриона рыбки данио и под конфокальным микроскопом наблюдал, куда перемещаются потомки этой клетки во время формирования органов.
Какой метод он применил?
  • Генетический
  • Биохимический
  • Цитологический
  • Генеалогический
Задание 3. Представьте, что в широколиственном лесу средней полосы с подлеском из рябины и лещины появился борщевик Сосновского. Борщевик имеет большие по площади и тёмные листья, которые преграждают свет более низким растениям травянистого яруса. В связи с этим флористический состав и численность травянистых видов сильно поменяются в короткие сроки.
Какое явление НЕ может иллюстрировать данная ситуация?
  • Аменсализм
  • Конкуренция видов за ресурсы
  • Первичная сукцессия сообщества
  • Инвазия
Задание 4. Метод криоэлектронной томографии позволяет визуализировать пространственное расположение мембран и крупных белковых комплексов в клетках. С использованием этого метода было исследована структура клетки цианобактерии Synechocystis. На картинке слева показано трёхмерное распределение мембран и некоторых других структур, на картинке справа —— схематическое изображение положения мембран аналогичной области клетки. Обратите внимание, что серые образования (структуры 11) на картинке А располагаются в цитоплазме свободно, а оранжевые образования (структуры 22) связаны с мембранами нековалентными связями.
Выберите верное утверждение:
  • Структура 1 отвечает за синтез углеводов
  • Структура 1 принимает участие в митотическом делении
  • Структура 2 принимает участие в фотосинтезе
  • Белковые молекулы структур 1 и 2 синтезированы на 80S80S-рибосомах
Задание 5. Бактериальная клетка окружена клеточной стенкой, основным компонентом которой является пептидогликан (муреин). Существует два типа бактериальных клеточных стенок: грамположительные (с толстым слоем пептидогликана, при окрашивании по методу Грама становятся фиолетовыми) и грамотрицательные (с тонким слоем пептидогликана, окружённым дополнительной мембраной, при окрашивании по методу Грама становятся розовыми). Только грамположительные бактерии способны к спорообразованию.
Выберите фотографию грамположительных бактерий:
Задание 6. У бактерий есть два типа молекул, в которых хранится генетическая информация: хромосомы и плазмиды. В хромосомах записана вся базовая информация, необходимая для жизнедеятельности клетки, а в плазмидах — так называемые гены роскоши, несущие информацию, необходимую для выживания в изменяющихся условиях окружающей среды и обладания конкурентным преимуществом.
Выберите ген, который, скорее всего, будет находится на плазмидах:
  • Ген альфа‑субъединицы АТФазы
  • Ген цитохрома С
  • Ген пируватдегидрогеназы
  • Ген структурного белка конъюгативного пиля
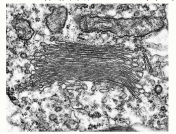
Задание 7. Какую функцию НЕ выполняет структура, представленная на микрофотографии?
  • Модификацию углеводов и фосфолипидов
  • Синтез белков
  • Сортировку и транспорт белков
  • Синтез пектинов и некоторых других полисахаридов
Задание 8. Женщина, страдающая вариантом митохондриальной нейропатии, связанным с мутацией в одном из генов митохондриальной ДНК, выходит замуж за здорового мужчину. Какова вероятность, что их дочь унаследует заболевание?
  • 0 %
  • 25 %
  • 50 %
  • 100 %
Задание 9. На гистологическом препарате вы можете наблюдать несколько типов сосудов.
Для какого из них характерно наименьшее давление?
  • Для гемокапилляров
  • Для артериол
  • Для венул
  • Во всех этих сосудах давление одинаково
Задание 10. Белок, который синтезируется шероховатым ЭПР, метят радиоактивным лейцином. В какой структуре будет обнаружена максимальная радиоактивность через пять минут после этого?
  • Эндосомы
  • Цис‑сторона аппарата Гольджи
  • Пероксисомы
  • Фаголизосомы
Задание 11. Какая из аминокислот является чрезмерно гибкой и подвижной, вследствие чего может нарушать структуру α‑спирали в белке?
Задание 12. Даны фотографии срезов четырёх стеблей растений. Три из них принадлежат деревьям — липе, яблоне и жимолости, а один — травянистому растению драцене из семейства Спаржевые, имеющей одревесневающий стебель.
Выберите срез травянистого растения:
Задание 13. В изолированной популяции, где соблюдается равновесие Харди‑Вайнберга, частота рецессивного фенотипа составляет 1 %.
Какова ожидаемая доля носителей рецессивного аллеля в гетерозиготном состоянии?
  • 99 %
  • 18 %
  • 9 %
  • 0 %
Задание 14. Антикодоном одной из тРНК, которая переносит аминокислоту серин (Ser), является последовательность 3′-АГУ-5′ (3′-AGU-5′).
Какое минимальное число замен нуклеотидов в соответствующем кодоне необходимо, чтобы он стал стоп‑кодоном?
  • Ни одной
  • Одна
  • Две
  • Три
Задание 15. Прокариоты способны на осуществление уникального процесса — диазотрофии (фиксации газообразного молекулярного азота). Фиксируя одну молекулу азота, бактерии получают 2 молекулы аммиака (который далее может входить в состав аминокислот) и 1 молекулу водорода в качестве побочного продукта реакции.
Для фиксации одной молекулы азота клетка должна потратить 16 молекул АТФ. Сколько молекул глюкозы должна окислить азотфиксирующая бактерия для фиксации 2 молекул азота, если известно, что во время брожения она синтезирует столько же молекул АТФ, сколько образуется при гликолизе?